Sábados da Ciência
View All
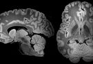
Por Dentro do Cérebro
Imagem de capa: captura de tela de cena de um dos vídeos. Imagens incríveis do Cérebro Humano Idoso e Saudável Estes vídeos foram gerados com imagens de escaneamento por ressonância …
Espaços Verdes
Ver Todos
Entrevista com pesquisadora: Adriana Valente
Estivemos frente a frente com a pesquisadora Adriana Valente, bióloga e professora do Instituto Federal de Educação, Ciência e Tecnologia do Rio de Janeiro (IFRJ). Adriana é doutora em Zoologia, …
Vida e Saúde
View All
Por Dentro do Cérebro
Imagem de capa: captura de tela de cena de um dos vídeos. Imagens incríveis do Cérebro Humano Idoso e Saudável Estes vídeos foram gerados com imagens de escaneamento por ressonância …
Universo Vivo
ver todos
2026: Nova Tripulação na Estação Espacial
Capa: Os quatro membros da missão Crew-12 da SpaceX, da NASA, para a Estação Espacial Internacional posam juntos para um retrato oficial da tripulação. Da esquerda para a direita: o …
Década do Oceano
View All
Coleção Vozes Oceânicas: Charles Darwin nas Ilhas Galápagos
Imagem de capa: Charles Darwin numa praia de Galápagos, acompanhado por uma iguana marinha, um atobá de pés azuis e uma tartaruga gigante olhando para ele. Imagem gerada por IA …
Matemática Viva
View All
Mulheres STEM: AO Nalini Joshi
Imagem de capa: Imagem impressionista de Nalini Joshi criada por IA Microsoft Copilot, 2026. Em 2026, a Semana Nacional de Ciência e Tecnologia (Brasil) vai celebrar o tema Mulheres na Ciência. Vamos aproveitar …
De Olho No Céu
View All
A gente precisa ver o luar: fevereiro
Capa: Pessoas olhando a Lua Cheia. Gerada por IA Copilot, 2025. O luarDo luar não há mais nada a dizerA não serQue a gente precisa ver o luar. Gilberto Gil. …
Aerogamis: Investigando Aviões de Papel
View All
Faça Ciência Você Mesmo: Investigando Aviões de Papel
Capa: Mari, Lipe e Drigo começando a aventura no mundo dos aviões de papel. Acervo Espaço Ciência Viva. #aerogamisECV, #aviõesdepapelECV Neste mês de março, estamos lançando mais uma temporada de …




































